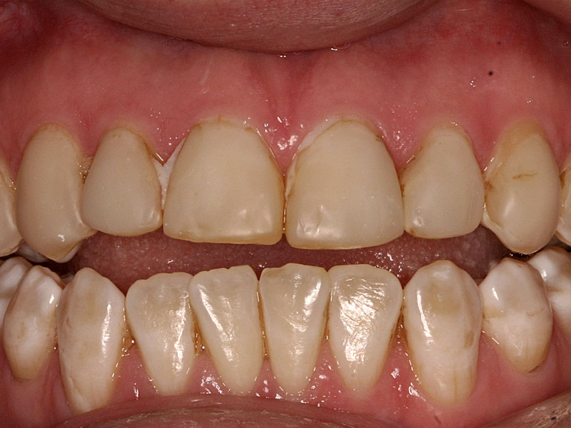
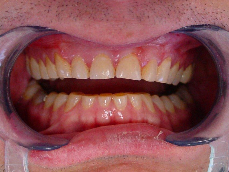
Wondering what your smile would look like after receiving dentalcare at Rocky Ridge Dental Associates? Our dentists and team have provided a gallery of all the smiles Dr. Jack Cutrer and Dr. Roy Smith have made possible using our quality dental services in Vestavia Hills, Alabama. Give us a call at 205-979-8070 to start your dental journey with us today!

Check back soon for new photos in our smile gallery!